


近期,九江市中医医院最新引进GE3.0T磁共振,开展了一系列的新技术、新项目。相较1.5T磁共振,3.0T磁共振能够缩短患者检查时间,提高图像的清晰度,3.0T磁共振搭载的ASL灌注技术,利用自身流动的血液作为示踪剂,不需要注射造影剂。

ASL是一种简单易行、不需要注射对比剂的非增强灌注成像方法,其利用动脉血中的水分子作为示踪剂,不需要打药,可直接定量显示脑血流量(CBF),其对血流速度非常敏感,不仅能反映灌注的结果,也能反映灌注的行为。通过脑灌注方面的变化进行磁共振成像可以准确地评价脑血管损伤及代偿的程度。
影像评估在缺血性脑卒中整个临床路径中扮演着非常重要的角色,需要在20分钟之内完成全部的影像扫描及影像评估。当缺血性卒中急性发作时,影像检查尤其是多模态CT/多模态MRI,对于缺血性脑卒中患者尤其是超时间窗患者的筛选起着非常重要的作用。
据了解,该技术可以快速、准确的发现卒中的部位和责任血管,评估缺血半暗带及预后等,为临床提供有价值的信息,指导临床进行溶栓、动脉内取栓治疗,能够有效地降低患者致死致残率,为群众的健康保驾护航。
技术简介
ASL的优势
1.可在脑卒中(脑中风)前3-5天发现脑供血不足区域,及时治疗,避免出现脑中风。
2.脑卒中发生后,可明确是否存在缺血半暗带,为临床医生判断是否适合溶栓提供可靠依据。
3.在脑卒中诊疗过程中,ASL不仅能敏感发现早期脑缺血类病变,同时也能显示脑梗塞治疗过程中的再灌注,能够准确判断临床治疗效果和血管再通、侧枝循环代偿水平。
4.可区分大、小血管病变,在临床治疗上具有重要的临床意义:小血管病变在病理上是由于血管壁玻璃样变或纤维素样坏死,而大血管病变在病理上则是动脉粥样硬化所致——载体动脉狭窄或闭塞,病理改变不同,治疗的药物也不同。
5.区分真假卒中,一些以卒中发作为主要症状的病变如线粒体脑肌病、脑炎等,在ASL呈现完全不同的灌注形式。
ASL临床应用:
缺血脑卒中:评估半暗带、评估侧支循环、评价缺血再灌注
肿瘤性病变:肿瘤分级、肿瘤病变鉴别诊断、肿瘤治疗后评估
图片ASL显示缺血区域及低灌注区,DWI代表核心梗死区域,ASL-DWI=缺血半暗带

短暂性脑缺血发作:常规T2及弥散图像显示左基底节及右侧丘脑多个小腔隙灶;3D TOF显示右颈内动脉明显狭窄,可见许多侧枝循环血管。3D ASL CBF灌注图上显示右大 脑半球显示为低灌注区,该病例表明3D ASL对灌注血管的流速敏感,因此能敏感发现供血血管异常及灌注代偿状态。

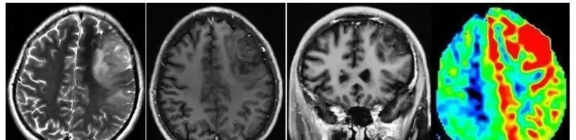
3D ASL能准确评价胶质瘤的微循环灌注信息,因而能反映肿瘤病变的新生血管形成,据此可以更准确的评价胶质瘤分级。有些胶质瘤病变尽管在常规增强无强化,但在3D ASL上表现为明显的高灌注,病理证实为高级别的胶质瘤。低级别的胶质瘤在3D ASL上表现为低灌注。

来源:九江市中医医院 文字/胡甜萍